Need dental services ?

Call on : +91 9358963699

opening hours

Every Day 9am to 9pm

Welcome to

Babulal Ji Pahadiya Dental Hospital

We believe that a beautiful smile is a reflection of confidence, health, and happiness. Our hospital is committed to delivering world-class dental care through advanced technology, personalized treatment, and exceptional patient comfort.

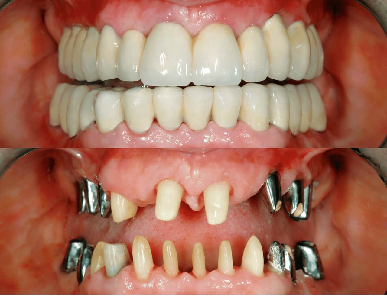
Babulal Ji Pahadiya Dental Hospital is renowned for providing the best dental service in Jagatpura, Jaipur. We are a trusted name committed to delivering comprehensive, high-quality, and painless dental care for the entire family. Our expert team utilizes advanced, modern technology for procedures ranging from basic check-ups and aesthetic cosmetic dentistry to complex dental implants and root canal treatments. Located conveniently in Jagatpura, we prioritize patient comfort and long-term oral health. Choose the top-rated dental care trusted by your community. Book your appointment today.

Our Vision

A Perfect Smile

At Babulal Ji Pahadiya Dental Hospital, is one of the leading dental care provider, offering innovative, comprehensive, and personalized treatments. We strive to enhance our patients’ oral health and aesthetics through cutting-edge technology and exceptional service, ensuring every smile radiates confidence and well-being.

 

Our Mission

Care For You

Our mission at Babulal Ji Pahadiya Dental Hospital is to deliver exceptional dental care through advanced technology and personalized treatment plans. We are committed to enhancing our patients’ oral health and aesthetics, fostering a welcoming environment, and promoting lifelong dental wellness for confident, radiant smiles.

Our Services

Comprehensive Dental Services for Oral Health

visit clinic

Comprehensive Dental Care For All Ages

20+

Years Experience

2Lakh +

Patient treated

99%

Patient Satisfaction

20+

Award and Certified

why choose us

Diagnosis of Dental Diseases

We are committed to sustainability. eco-friendly initiatives.

Experienced Doctor

Led by experienced doctors committed to your comfort and care.

Personalized Care

Tailored treatments designed to meet your unique dental needs.

Flexible Payment Options

Offering flexible payment options to fit your budget.

emergency services

Immediate care with 24/7 emergency dental services.

Positive Patient Reviews

Trusted by patients with glowing reviews for exceptional care.

Latest Technology

Utilizing the latest technology for precise and efficient treatments.

how it work

What We Do for Your Teeth

We are committed to sustainability. Our clinic practices eco-friendly initiatives like digital records to reduce paper waste and energy-efficient equipment.

Your first visit includes a comprehensive exam, X-rays if needed, and a consultation with the dentist to discuss your dental history and create a personalized treatment plan.

During a dental cleaning, a dentist will remove plaque, tartar, and stains from your teeth, followed by polishing and fluoride treatment for lasting protection.

For cavities, the decayed portion of the tooth is removed, and the area is cleaned and filled with a durable material like composite resin, restoring the tooth's function and appearance.

testimonial

What our Client Say

From reception to treatment, everything was smooth and well-managed. The waiting time was minimal, the clinic is very hygienic, and the staff is very supportive. I appreciate their organized system and patient-friendly environment.

Daksh Nawaria

Visited Pahadiya dental clinic for Aligners had an amazing experience with excellent post treatment result's I am grateful to Dr Manish Pahadiya and the team for there cooperation and assistance during the treatment and Giving me a beautiful smile. I wish them all the very best for future endeavours.

Pulkit Padmanabh

Recently I visited clinic. Staff were very professional and kind, and the facilities were clean and comfortable. Overall I had a positive experience. Highly Satisfied with the services and treatment.

Shraddha Gupta

contact now

Get Professional Consultation

D-8, Kusum vihar, SKIT Road Jagatpura, Jaipur

Every Day 9am to 9pm